こんにちは!今回は歯科助手の長渕が担当します(*^^*)
鏡を見て、「歯が長くなってきた」「歯のすき間が目立つようになってきた」とふと気になったことはありませんか?
それは、歯が伸びたのではなく、歯ぐきが下がったことに由来します。
歯ぐきが下がる原因は何なのでしょうか?
その1 歯周病
歯周病になっていない「健康な状態」では、歯はあごの骨とそれを覆う歯ぐきに、しっかりと支えられてますが、歯周病になると、歯を支える骨が失われていき、それにともない歯ぐきも下がってしまうのです。
歯周病の治療をして歯ぐきの腫れが引くと、骨が失われた分だけ歯ぐきも当然下がります。
歯周病の進行にともない、骨や歯ぐきは減っていきます。つまり、歯周病の治療を遅らせるほど、歯ぐきはどんどん下がっていくことになります。

その2 間違った歯磨き習慣
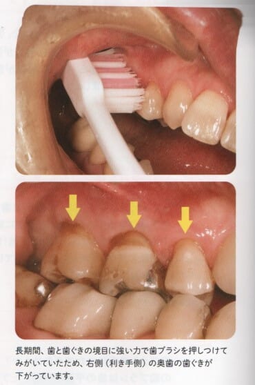
誤った歯みがき習慣も原因となります。かたい毛の歯ブラシの使用や、過剰な力での歯みがきを長期間続けていると、歯ぐきが下がってしまうことがあります。とくに歯ぐきが薄いかたは下がりやすいです。
歯ブラシを手のひらで握っていたり、歯ブラシを動かす幅(ストローク)が大きいと、歯ぐきにかかる圧力が強くなりがちです。


歯ぐきを下げないためには?
その1 歯周病の治療
歯ぐきが下がるいちばんの原因は歯周病です。
歯周病になっているなら、速やかに歯医者さんで治療を受けましょう。
その2 ハブラシを見直す
「かため」毛先が開いた歯ブラシは歯の平面に付着したプラークを除去する力は強いですが、歯ぐきにはやさしくありません。また、歯ブラシの毛先は開いていないかにも気をつけましょう。

その3 歯みがきの仕方を見直す
ご自分の歯みがきに過剰な力が入っていないかや、歯ブラシの動かし方などは、歯医者さんに行ったときに、歯科衛生士に見てもらうとよいでしょう。
歯ぐき退縮を防ぐために、今からできることをやっていきましょう!!
nico 2025年8月号



